As a singer-songwriter, after being diagnosed, I though that I had to give up everything. I was asking around and some women told me that I wouldn’t be able to move for 3 months, that I will feel horrible because they might remove my uterus. There is not way to prevent it or no cure but to remove the whole uterus aka in medical world, an Hysterectomy. I was pretty much depressed for a week. But as an optimist and believer that everything will be fine, I Google Fibroids, and found a lot of interesting definition.Here is the best so far I found to explain WHAT is Fibroid. I copy paste from the website http://www.associatedcontent.comwhere they explains different types of Fibroids.
Fibroids are tumors that appear in the uterus. Fibroids affect many women and this condition is usually spawned from hormone imbalances. Estrogen is the key culprit for stimulating the growth of fibroids. There are different types of fibroids and are defined as follows.
Subserous Fibroids-grow on the outer wall of the uterus. This specific type of fibroid commonly grows during menstrual periods.
Submucosal Fibroids – they grow inside the uterine cavity. A woman’s body begins to cramp because the fibroid grows where a baby would be birthed and so the body tries to birth it.
Intramural Fibroid-grow inside the uterine wall and mimics the symptomsof subserous and submucosal fibroids.
Pedunculated Fibroids-These mimic the ovarian tumors.
HOW DO WE GET FIBROID??
It is still unsure of how u get fibroid. Doctors claims it comes from heredity and very common with black women (85% chances) after 30 years old. In a lot of cases now in the 20’s…
WHAT ARE THE SYMPTOMS??
From most website that I’ve read, here is what is coming out:
. Heavy menstrual periods or menstrual flow or longer periods;
. Lower back pain;
. Irregular or unpredictable bleeding;
. Abdominal bloating (makes you look pregnant);
. Exhaustion;
. Very painful menstural cramps;
. Constipation;
. Pain during intercourse;
. In some cases infertility;
I have most of theses… Every morning, I have lower back pain and stomach pain as well.. I have to do a lot of stretching to be able to urinate. My cramps are getting worse and worse every month… After being told that I had to wait. I went to do more research about what can I do to make it easier on my back pain or not being sick WITHOUT taking medicines or waiting on my doctor’s appointment. Cause I can’t stay like this, I have shows, I have photo shoots, I have networking and mostly, I don’ t want to buy new clothes since I told myself that it is only temporary..
Here is a picture of my tummy in the morning.. you will see the left side is bigger, this is where is my (grapefruit) 10 cm fibroid. Nothing has been digitalised this is all me!!
Fibroid tummy
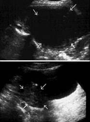
I was browsing to found out how big it is inside just to show you, since I haven’t received my sonogram test from the hospital as of yet. I found a sonogram pic from http://www.mirs.org/fibroids.htm
grapefruit size (10 cm) fibroid
So I know that I can’t stay like this.. I have found many websites that was talking about alternative medicine, how to cure naturally and that you can even ‘shrink’ the fibroid by eating healthy. Not that I was not eating healthy, but certain food they say ‘encourages’ the fibroid to grow, as it feeds itself from our blood vessels.
What I know so far to lower the fibroid :
HOW I AM TAKING CARE OF SHRINKING MY FIBROID:
. Eating food rich in fiber;
. Oatmeal porridge;
. Fruits and vegetables everyday, especially broccoli and spinach, prunes, pears and figs;
. Ginger;
. Herbal tea;
. Reduce or eliminate caffeine;
. Eating less animal fat and oily fried food;
. No saturated fats;
. No white bread;
. Soy products;
. Reduce or eliminate sugar and alcohol.
. Lots of liquid, water, soy milk;
. Low heavy exercises, long walk, no weight lifting;
For Vitamins, I am taking so far:
. Calcium;
. Magnesium;
. Zinc;
. B-Complex (with Vitamin C);
.Potassium;
It seems like a lot in the beginning but some of them are actually 3 in 1 vitamins. It has been two months since I started and I feel much better since. I have much less lower pain, stomach ache, my periods are less painful, and I am more healthy.. I still have some abdominal pain from my fibroid. It is hard also to cut everything all at once, so what I suggest is to do little by little.. I still get coffee once in a while, but when my periods comes, I try to cut everything all at once cause whatever you eat, your periods will make u feel what u eat: that’s a way to think. It really sucks that I can’t have some of my favorite fast food. I miss eating BBQ chicken (people know how I love my chicken), I cut the beef and other types of meat. I have chicken maybe once a week now. I miss eating what I want, but I am doing this for my health. At the end of the day, I still believe that I can have a child and I refuse to have an hysterectomy.
10 thoughts on “I was diagnosed with Fibroids (Part 3)”
I really enjoyed your blog and the information on fibroids (actually I did a search on fibroids and it came up – lol)…I was also diagnosed, waiting for my ultrasound and it’s just awful! Living on motrin and can’t work, can’t think, the pain is horrible and it’s so debilitating (even though I am not that heavy my stomach feels HUGE). I hope you are doing better now and back to making music since it looks like it’s been a year now…thanks again for the info!
How are you now?? Mine came back… after 2 years since my surgery… Read my latest blog, you will understand. Hope Everything is good for you,
Bless
I really like your explanation of fibroids. I was diagnosed with fibroids back in 2007 it was terrible after that heavy periods that will last for even a month this made me anemic. While waiting for a surgery one day after work while I was driving I felt a severe pain got home this night I went to the bathroom to change my pad for at least 25 times I started vomiting. My mom got really scared and took me to emergency hospital. Loosing blood and anemic made things worse for me. My doctor got to the hospital and told me that something needed to be done that day. I thank God that I didn’t go in a coma that night. After the surgery feel great but this month while my Gynecologist was doing an ultrasound he found fibroids again 😦 this time is small 3.4 but I’m scared. Thank you for sharing your story with all woman good luck to you!
My fibroids just came back… 2 years since my surgery.. check out my latest blog,
I understand your sadness… what have you done since?? are you going again through surgery or are you trying to havea baby??
let me know
bless
Very informational. Thank you
Thank you!! Glad you enjoy… more to come
Hi i am also been diagnosed with few fibroids my life changed since last year i have been trying to control the heave bleeding and amnemia, i have to be out of wok somentimes,is really hard for me as I work as a fitness instructor,fitness model and dance,beeing so fit all my life is hard to feel so unhealth at the moment.
Last week I was so ill,very tired,short of breath,dizzy,vomiting and i did a blood test and the result wasn t that great,i had to go to the hospital to do an emergency blood tranfusion because my hemoglobine was 4% when the normal shoud be 12%,i ended up takind 4 bags oh blood,never been so scared in my hole life.
I had a good talk with the doctor regarding a cirgical treatment and get pregnant,i am already a mother of a 6 years old girl but i am consider to have another baby,so the doctor advised me to get pregnant so the problem will be sorted for a while and then we talk again about surgery or even to have the umb and ovarios removed,but i need to be ready for it.
Tks for shering your blog with us,it was really helpfull.
I wish you all the best.
Take care
Leny from London
Hi,
Thank you for sharing. I know it has been a very long time but I hope that you are doing much better now. Did you get any surgery?? how is life as fitness instructor?? I still don’t have kids myself but I am not rushing.. finding a good mate is hard also…
have you been able to get pregnant? let me know.
Thank you again so much for sharing your story.
Compression molding normally utilizes upright presses instead of the straight presses made use of for treatment
as well as strike molding.
I discovered your weblog site on google and test a couple of of your early posts. Continue to maintain up the very good operate. I just further up your RSS feed to my MSN News Reader. In search of forward to reading extra from you later on!…
I really enjoyed your blog and the information on fibroids (actually I did a search on fibroids and it came up – lol)…I was also diagnosed, waiting for my ultrasound and it’s just awful! Living on motrin and can’t work, can’t think, the pain is horrible and it’s so debilitating (even though I am not that heavy my stomach feels HUGE). I hope you are doing better now and back to making music since it looks like it’s been a year now…thanks again for the info!
How are you now?? Mine came back… after 2 years since my surgery… Read my latest blog, you will understand. Hope Everything is good for you,
Bless
I really like your explanation of fibroids. I was diagnosed with fibroids back in 2007 it was terrible after that heavy periods that will last for even a month this made me anemic. While waiting for a surgery one day after work while I was driving I felt a severe pain got home this night I went to the bathroom to change my pad for at least 25 times I started vomiting. My mom got really scared and took me to emergency hospital. Loosing blood and anemic made things worse for me. My doctor got to the hospital and told me that something needed to be done that day. I thank God that I didn’t go in a coma that night. After the surgery feel great but this month while my Gynecologist was doing an ultrasound he found fibroids again 😦 this time is small 3.4 but I’m scared. Thank you for sharing your story with all woman good luck to you!
My fibroids just came back… 2 years since my surgery.. check out my latest blog,
I understand your sadness… what have you done since?? are you going again through surgery or are you trying to havea baby??
let me know
bless
Very informational. Thank you
Thank you!! Glad you enjoy… more to come
Hi i am also been diagnosed with few fibroids my life changed since last year i have been trying to control the heave bleeding and amnemia, i have to be out of wok somentimes,is really hard for me as I work as a fitness instructor,fitness model and dance,beeing so fit all my life is hard to feel so unhealth at the moment.
Last week I was so ill,very tired,short of breath,dizzy,vomiting and i did a blood test and the result wasn t that great,i had to go to the hospital to do an emergency blood tranfusion because my hemoglobine was 4% when the normal shoud be 12%,i ended up takind 4 bags oh blood,never been so scared in my hole life.
I had a good talk with the doctor regarding a cirgical treatment and get pregnant,i am already a mother of a 6 years old girl but i am consider to have another baby,so the doctor advised me to get pregnant so the problem will be sorted for a while and then we talk again about surgery or even to have the umb and ovarios removed,but i need to be ready for it.
Tks for shering your blog with us,it was really helpfull.
I wish you all the best.
Take care
Leny from London
Hi,
Thank you for sharing. I know it has been a very long time but I hope that you are doing much better now. Did you get any surgery?? how is life as fitness instructor?? I still don’t have kids myself but I am not rushing.. finding a good mate is hard also…
have you been able to get pregnant? let me know.
Thank you again so much for sharing your story.
Compression molding normally utilizes upright presses instead of the straight presses made use of for treatment
as well as strike molding.
I discovered your weblog site on google and test a couple of of your early posts. Continue to maintain up the very good operate. I just further up your RSS feed to my MSN News Reader. In search of forward to reading extra from you later on!…